인공수정 임신 6주차(6주5일), 7주차(7주1일) 난황 못봄, 작은 아기집 크기 더딘 성장, 고사난자 뜻 계류유산 의심
- 임신·출산 정보
- 2025. 4. 26. 20:01
오늘은 인공수정 임신 6주차(6주5일)와 7주차(7주1일) 병원에 다녀온 기록을 남겨보려고 합니다.
마지막 생리 시작일은 3월 5일, 인공수정일(배란일)은 3월 20일입니다.
네이버 주수 계산기 기준으로 4월 21일 6주 5일차가 되는 날입니다.
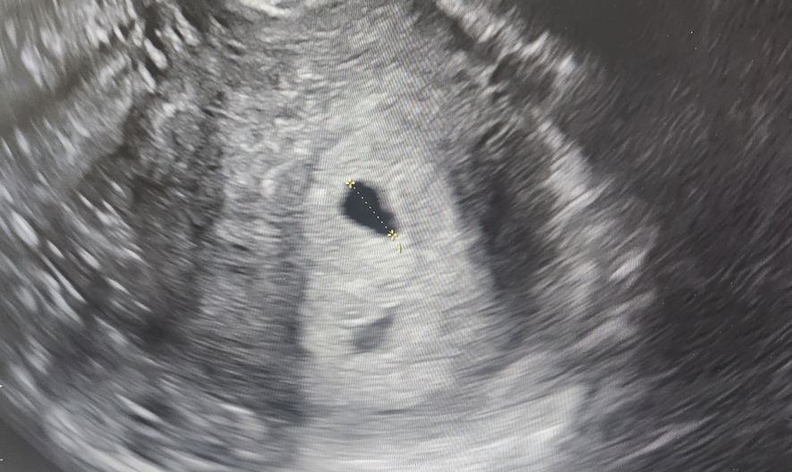
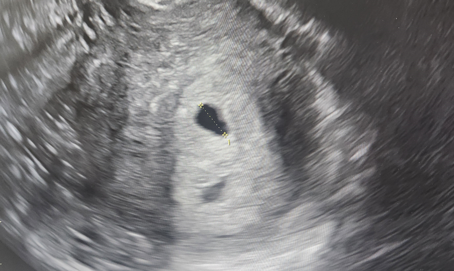
6주차는 난황이 보여야 하는 중요한 시기였는데, 초음파 검사 결과 아기집만 보였고 난황은 보이지 않았습니다.
아기집 크기도 7.6mm로 주수보다 작았습니다.
난황이란?
난황은 아기집(임신낭) 안에 생기는 작은 원형 구조물로, 초기 태아에게 영양을 공급하는 중요한 기관입니다.
보통 임신 5주 후반~6주 초반에 초음파로 확인할 수 있으며, 난황이 보이면 임신이 정상적으로 진행되고 있을 가능성이 높습니다.

선생님께서는 아기집 크기가 여전히 작으며, 이번 주에는 난황이 꼭 보여야 하는데 보이지 않는다고 설명해주셨습니다.
한 주만 더 지켜보고, 다음 진료 결과에 따라 상황에 맞는 결정을 해야 할 수도 있다고 하셨습니다.
한 주 더 지켜보고 다음주에도 보이지 않는다면 고사난자, 계류유산을 의심하고 소파술이나 약물 배출 처치를 고려할 수 있다고 안내해주셨습니다.
계류유산이란?
계류유산은 태아가 자궁 안에서 성장과 발달을 멈췄지만, 자연스럽게 배출되지 않고 자궁 안에 남아 있는 상태를 말합니다.
초기에는 별다른 증상이 없어 알아차리기 어렵고, 대부분은 정기 초음파 검사나 피검사를 통해 확인됩니다.
보통 출혈이나 통증이 없이 진행되기 때문에, 초음파상 아기집이나 태아의 성장이 멈췄거나 심장박동이 확인되지 않으면 계류유산을 진단하게 됩니다.
고사난자란?
수정은 되었지만 배아로 제대로 성장하지 못하고 자연스럽게 퇴화하거나 멈춰버린 상태를 말합니다.
초음파로 봤을 때 아기집은 보이지만 난황이나 태아가 보이지 않거나, 이후에도 성장하지 않는 경우 고사난자를 의심할 수 있습니다.
검사 결과를 듣고 마음이 많이 무거웠습니다.
왜 난황이 보이지 않는 걸까, 아기집 성장도 더디게 느껴져 걱정이 커졌습니다.
기다리는 시간이 힘들어, 임신 7주차(7주1일)에는 회사 근처 다른 병원에서 초음파를 다시 확인해보았습니다.
이번 초음파에서는 아기집 크기가 9.4mm로 약간 자란 모습이었지만, 난황은 여전히 보이지 않았습니다.
인터넷에서 비슷한 사례를 찾아보았지만 예후가 좋지 않은 경우가 많아 마음이 좋지 않습니다.
하지만 아직 최종적인 판단은 이르기 때문에 조금 더 시간을 가지고 지켜보기로 했습니다.
오늘도 기록을 남깁니다.
읽어주셔서 감사합니다.
'임신·출산 정보' 카테고리의 다른 글
| 임신 7주차 자연배출 계류유산 후기와 통증, 재임신 시도 시기 유산휴가 사용 (0) | 2025.05.07 |
|---|---|
| 인공수정 임신 7주차 난황 안보임 고사난자 계류유산 진단 판정(뜻, 원인, 증상) 약물배출 소파술 예약 (0) | 2025.05.07 |
| 배란 22일차, 23일차, 24일차, 25일차, 26일차 원포 임테기 진하기 비교 졸업 인공수정 후 첫 임테기 역전 뜻 (1) | 2025.04.26 |
| 인공수정 임신 5주차(5주 5일) 초음파 작은 아기집 추정 크기, hcg 피검사 수치 더블링 실패 (0) | 2025.04.26 |
| 인공수정 임신 5주 1일차 초음파 아기집 안보임 자궁외 임신 의심, hcg 피검사 수치 (0) | 2025.04.26 |
