인공수정 임신 7주차 난황 안보임 고사난자 계류유산 진단 판정(뜻, 원인, 증상) 약물배출 소파술 예약
- 임신·출산 정보
- 2025. 5. 7. 16:57
임신 6주차와 7주차 초음파에서 난황이 보이지 않아, 병원에서는 일주일 뒤 한 번 더 확인해보자고 했습니다.
7주 5일차 마지막이라는 생각에 떨리는 마음으로 병원을 찾았지만, 결과는 달라지지 않았습니다.
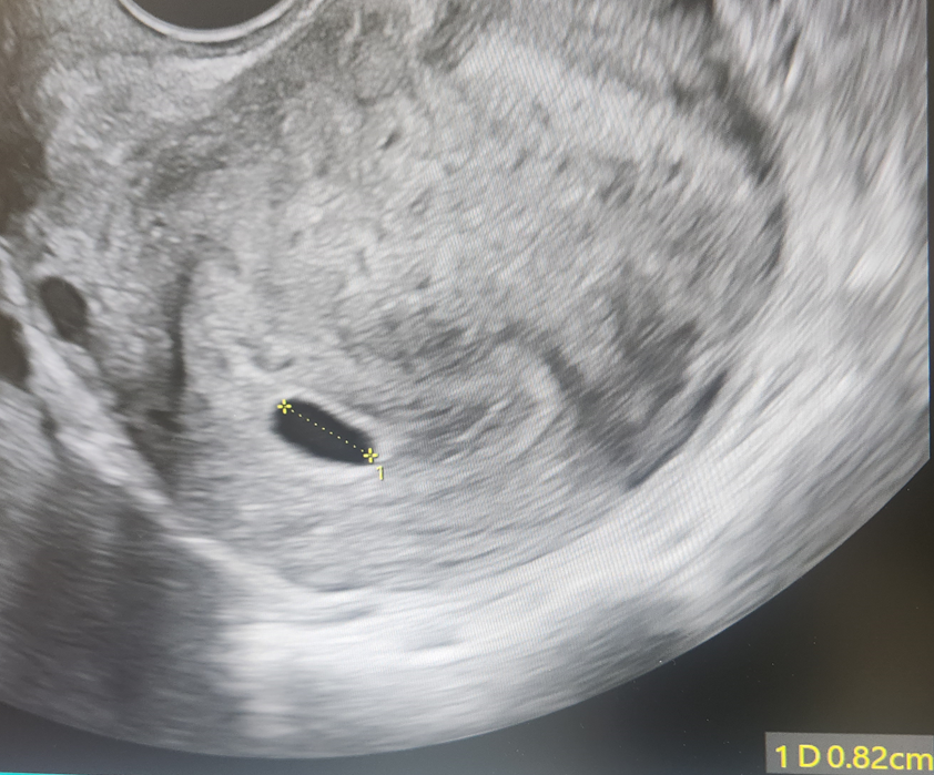
아기집은 여전히 비어 있었고, 크기도 지난주보다 오히려 조금 줄어든 상태였습니다. (9.4mm → 8.2mm)

이런 결과를 바탕으로 병원에서는 계류유산이라는 진단을 내렸습니다.
진료 후 그 주 금요일로 소파술을 예약했고, 수술 당일 아침에는 자궁 수축을 유도하는 약을 질정으로 삽입한 뒤 병원에 오라는 안내를 받았습니다.
고사난자와 계류유산이란?
‘고사난자’는 성장하던 배아가 어느 시점에서 발달을 멈춘 상태를 말하고,
‘계류유산’은 이렇게 성장이 멈춘 배아가 자궁 안에 남아 있는 상황을 의미합니다.
소파술이란?
소파술은 계류유산 진단을 받은 경우, 자궁 내에 남아 있는 조직을 안전하게 제거하기 위한 시술입니다.
수술 시간은 짧지만, 시술 후에는 안정을 취하고 자궁 회복을 도와주는 관리가 필요합니다.
계류유산의 원인은?
의사 선생님 말씀으로는, 대부분 배아의 염색체 이상이 원인이라고 합니다.
정상적으로 수정이 되더라도 염색체가 비정상적으로 조합되면 배아가 더 이상 자라지 못하게 되고, 그 결과 자연스럽게 성장이 멈춘다고 해요.
그 외에도 착상 문제, 자궁의 구조적 요인, 호르몬이나 면역 문제 등도 영향을 줄 수 있지만, 대부분은 염색체 이상으로 인한 자연적인 일이라고 설명해주셨습니다.
지금 돌아보면 보였던 증상들
생각해보면 몇 가지 이상 신호들이 있긴 했습니다.
1. 아기집 성장 속도가 느렸고
2. hCG 수치도 정상적으로 두 배로 증가하지 않았고
3. 끝내 난황도 보이지 않았습니다
입덧도 없었는데, 처음엔 개인차겠거니 했어요. 엄마도 입덧이 없으셨다 하니까요.
하지만 지금 생각해보면 그 또한 하나의 징후였을 수도 있겠다는 생각이 듭니다.
처음 겪는 임신이었고, 그래서 더 기대가 컸던 것 같아요.
아직 마음이 복잡하지만, 지금은 몸을 잘 회복하는게 우선이라고 생각하고 있습니다.
혹시 저처럼 비슷한 상황을 겪고 계신 분이 있다면, 조금이나마 도움이 되었으면 합니다.
'임신·출산 정보' 카테고리의 다른 글
| 임신 7주차 자연배출 계류유산 후기와 통증, 재임신 시도 시기 유산휴가 사용 (0) | 2025.05.07 |
|---|---|
| 인공수정 임신 6주차(6주5일), 7주차(7주1일) 난황 못봄, 작은 아기집 크기 더딘 성장, 고사난자 뜻 계류유산 의심 (0) | 2025.04.26 |
| 배란 22일차, 23일차, 24일차, 25일차, 26일차 원포 임테기 진하기 비교 졸업 인공수정 후 첫 임테기 역전 뜻 (1) | 2025.04.26 |
| 인공수정 임신 5주차(5주 5일) 초음파 작은 아기집 추정 크기, hcg 피검사 수치 더블링 실패 (0) | 2025.04.26 |
| 인공수정 임신 5주 1일차 초음파 아기집 안보임 자궁외 임신 의심, hcg 피검사 수치 (0) | 2025.04.26 |
